悪い歯並びとは、どういう状態でしょう。簡単に言うと歯が不ぞろいだったり、上下の歯ならびがかみ合わない状態のことです。
そうせい(八重歯・乱ぐい歯)、上顎前突(出っ歯)、反対咬合(うけ口)、開咬の4つに分けることができます。
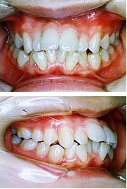
顎が小さくて歯の生える場所が足らなくなり歯並びがデコボコになっています。




*治療後リテーナーを使用しなければ後戻りするリスクがあります。
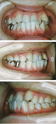
上顎の前歯が強く前に傾斜している場合と、下顎の成長が悪い場合があります。




*治療後リテーナーを使用しなければ後戻りするリスクがあります。
前歯だけの反対咬合と顎の成長自体に問題がある場合(下顎前突)があります。




*治療後リテーナーを使用しなければ後戻りするリスクがあります。
奥歯だけかんでいて前歯でかむことができない場合です。
舌の癖があり発音障害もあります。


*治療後リテーナーを使用しなければ後戻りするリスクがあります。
昔から「健全な精神は健康な体に宿る。」と言われますが、歯ならびが悪いと、その人の性格や考え方にも影響があります。内気で消極的だった人が治療によって社交的で活発な性格に変わることがあります。
かみ合わせに異常があると「うまくかめない。」「はっきりした発音がしづらい。」という機能的な問題が生じます。外国語を話すときに相手に正しい意味が通じないことがあります。
歯が重なり合っている場所は歯ブラシが届きにくいので、虫歯や歯槽膿漏になることがあります。
成長期に悪い歯ならびをほおっておくと正しい顎の発育に悪影響を及ぼします。
悪い歯ならびと言っても、症状はさまざまですから、その人によって異なります。たとえば顎の成長に問題のある人は、なるべく早く治療を始めた方が良いのです。
また永久歯が生え揃ってから治療した方が、短期間に効率よく治療できる場合もあります。
ですから、なるべく早く矯正歯科医に相談しましょう。
→詳しくは、診療方針のページへ
矯正装置には、取り外しのできる装置と口の中に入ったままの固定式装置があります。固定式装置には、歯の表側につけるものと、歯の裏側につけるものがあります。
| ○取り外しのできる装置 | |
| ●固定式装置 | ●歯の表側のもの |
| ●歯の裏側のもの | |
矯正装置は、症状によって決定します。一般には歯の表面に銀色の装置をつけると思われがちですが、他の方法もありますので、矯正治療をするのが恥ずかしいということはありません。
→詳しくは、矯正装置のページへ

〒335-0023 埼玉県戸田市本町4-14-12 2階
Tel:048-432-7575
無料相談しています。お気軽にご相談ください。
◆診療時間 午前10:00~13:00 午後15:00~19:00
◆休診日 木・日・祝日
◆駐車場 あり 予約制